¿Sufriste un infarto cerebral? Estas son las opciones para prevenir otro episodio

Un infarto cerebral o evento vascular cerebral (EVC) puede cambiar la vida de una persona en cuestión de minutos. Sin embargo, gracias a los avances médicos y quirúrgicos, hoy existen opciones eficaces para prevenir un segundo evento y proteger tu cerebro a largo plazo.
Después de un primer EVC o un ataque isquémico transitorio (AIT), el riesgo de tener otro infarto cerebral es mucho mayor. Esta etapa se conoce como prevención secundaria, y es fundamental para reducir complicaciones, discapacidad y mortalidad.
¿Qué incluye la prevención secundaria del infarto cerebral?
Control estricto de los factores de riesgo:
Presión arterial
Niveles de glucosa (diabetes)
Colesterol
Ritmo cardiaco (fibrilación auricular)
Suspensión del tabaquismo
Evaluación detallada de las arterias cerebrales y carótidas:
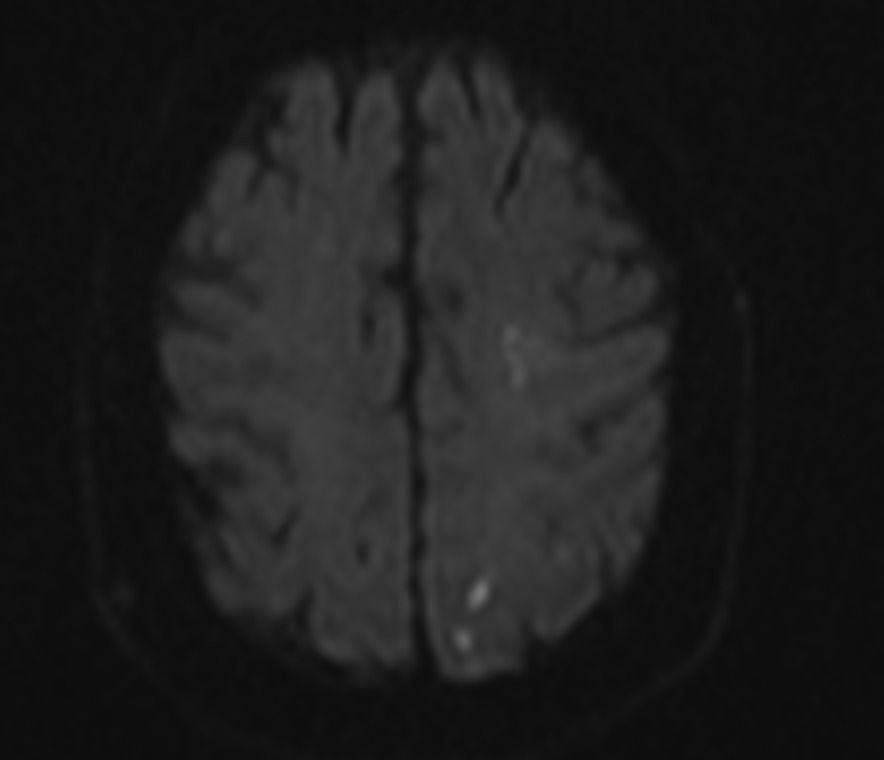
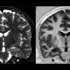
Muchas veces, el infarto se debe a una obstrucción en una arteria que lleva sangre al cerebro, como las carótidas. En estos casos, se puede requerir tratamiento quirúrgico.
Opciones de tratamiento quirúrgico
Dependiendo de la causa y localización del infarto, el neurocirujano puede ofrecer soluciones personalizadas:

Endarterectomía carotídea
Este procedimiento consiste en retirar la placa de colesterol que obstruye la arteria carótida. Está indicada en pacientes con estenosis significativa (reducción del calibre de la arteria) y antecedentes de EVC o AIT. Es una intervención segura que reduce significativamente el riesgo de nuevos infartos.
Bypass cerebral
Cuando una arteria cerebral importante está obstruida y no hay posibilidad de abrirla con otros métodos, se puede realizar un bypass: se conecta una arteria sana del cuero cabelludo directamente a una arteria del cerebro para restaurar el flujo sanguíneo. Es una técnica avanzada que solo se realiza en centros especializados y con neurocirujanos capacitados.
Tratamiento endovascular o híbrido
En ciertos casos seleccionados, se pueden colocar stents o realizar procedimientos menos invasivos a través de cateterismo, con o sin apoyo quirúrgico.
¿Por qué es importante la valoración por un neurocirujano?
El papel del neurocirujano va mucho más allá de operar. Evaluamos en profundidad la causa del EVC, revisamos estudios como resonancias, angiografías o Doppler de carótidas, y diseñamos una estrategia de tratamiento integral junto con otros especialistas.
Además, el seguimiento a largo plazo es crucial. No basta con tratar un infarto cerebral: hay que prevenir el siguiente.
Tu salud cerebral merece atención especializada.
Si tú o un ser querido han tenido un infarto cerebral, no esperes a que ocurra otro episodio. Consulta con un neurocirujano especializado en enfermedad cerebrovascular para conocer tus opciones de tratamiento y seguimiento.

